Especialidad de la odontología que se encarga del estudio, diagnostico, prevención y tratamiento de las deformidades dento-faciales. En términos prácticos es el uso de brackets de diferentes tipos y aparatos diversos para aplicar fuerzas externas.

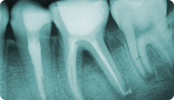
Rama de la odontología que se encarga del diagnostico y tratamiento de las enfermedades del tejido pulpar (vasos y nervios) del diente.
Clínicamente el paciente presenta sintomatología con dolor provocado o dolor espontaneo, sensibilidad debido a inflamación, algunos tipos de abscesos provocados por procesos infecciosos.
Rama de la odontología que previene, diagnostica y trata todo lo relacionado con la salud dental de los peques de casa.

Especialidad de la odontología que se encarga de los tejidos de soporte de las piezas dentales y del mantenimiento de los mismos.

Especialidad de la odontología en la cual se reconstruyen integralmente la función del sistema masticatorio a través de prótesis fijas, removibles, implantes y operatoria. Cuidando siempre la estética de nuestros pacientes.
Utilizamos materiales nuevos, además de los convencionales que se han utilizado desde siempre.
Los dientes sufren un obscurecimiento de tono amarillento o grisáceo por la función natural de la masticación de alimentos, vino, café y el uso del tabaco.
El procedimiento laser nos permite aclarar de dos a tres tonos el color de los dientes en tan solo 1 hora.

Utilizando la tecnología del CO2, se realiza un peeling en la encía un procedimiento no quirúrgico cosmético para darle un acabado a la superficie de la encía pigmentada por exceso de melanina removiendo sus capas, estimulando el crecimiento de colágeno dando un aspecto más
rosado en tu encía.
La limpieza dental es parte de la higiene oral y consiste en la eliminación de la placa dental de los dientes con la intención de prevenir las caries, gingivitis y enfermedad periodontal.
Operatoria dental (amalgamas y resinas) Es la rama dela Odontología que estudia el conjunto de procedimientos que tienen por objeto devolver al diente su equilibrio biológico cuando por distintas causas se ha alterado su integridad estructural, funcional o estética.

Hemos equipado nuestros consultorios con equipos de última generación, un dispositivo que nos permiten la administración de anestesia por goteo, sin dolor controlada a través de una computadora, lo cual permite adormecer por completo el diente y tejidos adyacentes.

Otro importante beneficio que ofrecemos a nuestros pacientes es la maravillosa "Sedación Dulces Sueños" para las personas que sufren de ansiedad, miedo o que padezcan algunos padecimiento neurológico y/o motriz, un anestesiólogo certificado aplica la sedación específica correspondiente a cada paciente.
El implante dental es un sustituto de la raíz de un diente que se ha caido. Regularmente es de forma roscada y está hecho de materiales biocompatibles que no crean alguna reacción de rechazo y se puede unir facilmente al hueso. El implante puede tener diferentes texturas y re-cubrimientos, que se utilizan para aumentar su adhesión al hueso.
